Advertisement intended for health care professionals

l

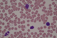
Large Granular Lymphocyte in T-LGL Leukemia

Large Granular Lymphocyte in T-LGL Leukemia
#00063537
Author: Koyamangalath Krishnan MD; Hemendra Mhadgut MD; Patrick Costello MD
Category: Lymphoma: Mature T and NK cell lymphoproliferations > Mature T-cell Leukemias > T-cell Large Granular Lymphocytic Leukemia
Published Date: 05/03/2021

High power photomicrograph of blood film in a patient with T-LGLL  showing large granular lymphocyte with primary azurophilic granules, abundant cytoplasm, and undulating margins. Wright-Giemsa stain.

Advertisement intended for health care professionals