Advertisement intended for health care professionals

l

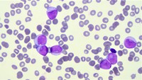
AML with NPM1 and FLT3 mutations

AML with NPM1 and FLT3 mutations
#00063482
Author: Ke Xu, MD
Category: Myeloid Neoplasms and acute leukemia (WHO 2016) > Acute Myeloid Leukemia > Acute Myeloid Leukemia with recurrent genetic abnormalities > AML with mutated NPM1
Published Date: 04/01/2021

A 90-year-old patient presented with anemia, thrombocytopenia and high white cell count. Hb 94 g/L, WBC 177 x10^9/L, platelet 33x10^9/L. Blood film showed blasts with cup-shaped nuclear morphology. Flow cytometry identified 90% of blasts. They are CD34-HLADR-CD117+CD33+ cMPO+. Cytogenetic was normal. Molecular diagnostics revealed the NPM1 and FLT3-ITD mutations. Diagnosis of AML with NPM1 and FLT3 mutations was made.

Advertisement intended for health care professionals