Advertisement intended for health care professionals

l

Neutrophil and Lymphocytes

Neutrophil and Lymphocytes
#00063363
Author: Anirudh Raghuvir; Girish Venkataraman
Category: Morphologic variants of normal cells > Morphologic variants of white blood cells
Published Date: 12/17/2020

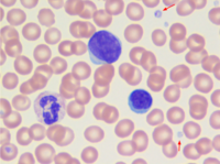
This peripheral smear stained with Wright-Giemsa shows one neutrophil, two lymphocytes, and platelets (marked in red). The neutrophil, seen on the bottom left of the field, can be identified by its multiple lobes, pink-stained cytoplasm and fine, azurophilic granules. The two platelets, shown by the red arrows, are small disc-shaped cells that help the blood clot to stop bleeding and heal wounds. Lymphocytes are recognized by their large, dark purple nucleus and a thin ring of surrounding cytoplasm. One lymphocyte on the bottom right is a normal lymphocyte, while the larger one at the top is an abnormal, large lymphoid cell that is cancerous. This is from a T cell lymphoma called Sézary syndrome, which causes itchy, red skin rashes (erythroderma) throughout the body and can be treated by drugs or chemotherapy.

Advertisement intended for health care professionals