Advertisement intended for health care professionals

l

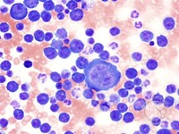
Nurse cell: feeder of RBCs

Nurse cell: feeder of RBCs
#00063309
Author: Kanwaljeet Singh; Venkat Somasundarum; Ankur Ahuja; Manisha Singh; Tathagat Chatterjee
Category: Red Cell: Disorders of Iron Metabolism and Heme Synthesis
Published Date: 11/16/2020

MGG stained bone marrow aspirate showing a macrophage surrounded by erythroblasts.This macrophage with surrounding erythroblasts is known as ''Nurse cell'' which supply iron & nutrition to these cells for formation of RBCs.

Advertisement intended for health care professionals