Advertisement intended for health care professionals

l

Leukemia cutis in acute myeloid leukemia - 1

Leukemia cutis in acute myeloid leukemia - 1
#00063250
Author: Dr. Tariq A. Saleh/ Consultant hematologist; Dr. Zahraa akram Thabit/ haematopathologist
Category: Myeloid Neoplasms and acute leukemia (WHO 2016)
Published Date: 10/08/2020

A 71-year-old Iraqi woman presented with a fever, pallor, easy fatigability and skin lesion, including multiple patches and purplish plaques all over the body. At presentation, the physical examination revealed anemia, splenomegaly and hepatomegaly.

An ultrasound of abdomen showed hepatomegaly (19 cm) and splenomegaly (22 cm).

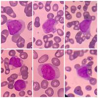
A skin biopsy showed dermal neoplastic round cells infiltrating deep into the dermis with frequent mitosis. Immunohistochemical staining showed positive reaction for CD45 and CD34, so the diagnosis of leukemia cutis was established.

Leukemia cutis (LC) is a rare neoplastic infiltration of the skin or subcutaneous tissue by leukemic cells. Because it correlates with sites of additional extramedullary involvement, it typically portends a poor prognosis. Although most cases of LC present concurrently with bone marrow infiltration, skin findings may precede systemic involvement in some cases; thus, early detection by dermatologists is essential.


Advertisement intended for health care professionals