Advertisement intended for health care professionals

l

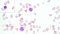
Megaloblastic anemia

Megaloblastic anemia
#00063103
Author: Ke Xu, MD
Category: Red Cell: Other Disorders > Megaloblastic Anemia
Published Date: 07/28/2020

The blood film of a 70-year-old man with vitamin B12 deficiency showing marked anisocytosis, macrocytosis, oval macrocytes, teardrop poikilocytes, hypersegmented neutrophils and a circulating megaloblast. The blood count was Hb 36 g/L, MCV 132 fl, MCH 45.0 pg, MCHC 340 g/L, WBC 2.63 x10^9/L, platelet count 76 x10^9/L.

Advertisement intended for health care professionals