Advertisement intended for health care professionals

l

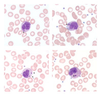
Howell-Jolly body-like inclusions in neutrophils

Howell-Jolly body-like inclusions in neutrophils
#00062960
Author: Luis Carrillo, MD
Category: Laboratory Hematology
Published Date: 03/09/2020

A 36-year-old female with a past medical history of end-stage renal disease secondary to diabetes mellitus type 1. The patient is five months status post intraperitoneal deceased donor kidney transplantation. She is on tacrolimus as an immunosuppressive medication and was admitted due to recurrent urinary tract infections and acute kidney injury. A complete workup was done, including a hemogram and differential. A review of the peripheral blood smear demonstrated neutrophilia with mild left shift and toxic granulation. Numerous neutrophils show intracytoplasmic inclusions (a.k.a., Howell-Jolly body-like inclusions) (Panels A and B: Wright-Giemsa stain, x100 oil objective). 

 

These round, dark purple intracytoplasmic inclusions in neutrophils have a broad range of differential diagnoses, including infectious agents such as ehrlichiosis and anaplasmosis, especially in this immunosuppressed patient; Barr bodies, commonly seen in female patients; and Howell-Jolly body-like inclusions in immunosuppressed patients (e.g., human immunodeficiency virus or acquired immunodeficiency syndrome HIV/AIDS, post-transplantation on immunosuppressive medication, and chemotherapy). Howell-Jolly body-like inclusions likely represent fragments of nuclear chromatin. Fluorescence studies have shown the DNA-based origin of this cytoplasmic inclusion.

Advertisement intended for health care professionals