Advertisement intended for health care professionals

l

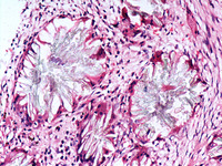
Figure 2

Figure 2
#00062856
Author: Reena Das, MD; Diksha Dev Yadav
Category: Red Cell: Other Disorders > Bone/metabolic disease > Oxalosis
Published Date: 11/29/2019

High power showing oxalate crystals.

Advertisement intended for health care professionals