Advertisement intended for health care professionals

l

Hemoglobin C

Hemoglobin C
#00062831
Author: Ogenetega Madedor, MD; David Sukhai MD; Kishankumar Patel MD; Vishal Singh MD; Yasna Chaudhary MD
Category: Red Cell: Hemoglobin disorder > Qualitative disorders > Hemoglobin C
Published Date: 11/18/2019

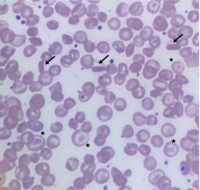
Peripheral blood smear findings from a patient with Hemoglobin (Hb) CC disease. The image shows several Hb C crystals (arrow). These crystals are rectangular or cylindrical shaped and usually reside within erythrocyte membrane. They are classic findings of Hb C and can be used for diagnostic purposes. However, the presence of the crystals does not differentiate between Hb CC and SC diseases, as both conditions can express them. Several target cells can be identified (star). The increase cell membrane to its volume gives the appearance of a “bull’s eye” within the smear. Few platelet cells are present as well.

Advertisement intended for health care professionals