Advertisement intended for health care professionals

l

Giant intracytoplasmic inclusions in a T-cell large granular lymphocytic leukemia patient with acute severe anemia

Giant intracytoplasmic inclusions in a T-cell large granular lymphocytic leukemia patient with acute severe anemia
#00062779
Author: Schnyder Coffy; Min Shi
Category: Lymphoma: Mature T and NK cell lymphoproliferations > Mature T-cell Leukemias > T-cell Large Granular Lymphocytic Leukemia
Published Date: 09/16/2019

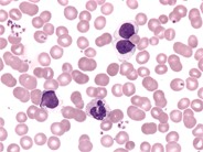
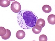
A 54-year-old man presented with shortness of breath and light-headedness. Complete blood count (CBC) showed anemia (hemoglobin, 5.0 g/dL) and lymphocytosis (lymphocyte count, 7.9 × 10 9/L). Peripheral blood smears (panel A; original magnification ×1000, hematoxylin and eosin stain) showed increased large granular lymphocytes (7.3 × 10 9/L) with giant reddish-purple cytoplasmic inclusions. Flow cytometry (panel B) revealed CD3 +CD8 + T cells (77% of total events) with dim expression of CD2 and CD5 and coexpression of natural killer cell–associated markers CD16, CD57, CD94, and NKG2A. Clonality was established by restricted killer-cell immunoglobulin-like receptor CD158a and clonal T-cell receptor gene rearrangement. STAT3 mutation was detected. Bone marrow biopsy (panel C; original magnification ×400, immunohistochemical stain) showed intrasinusoidal infiltrates of CD8 +, granzyme B +, and TIA1 + T cells. T-cell large granular lymphocytic leukemia (T-LGLL) was diagnosed, and cyclophosphamide was administered. CBC normalized upon 5 months of treatment and no cytoplasmic inclusions were identified in the subsequent smears, indicating an excellent response to therapy.T-LGLL is an indolent disorder of persistent cytotoxic T-cell expansion with coarse/fine cytoplasmic azurophilic granules containing cytolytic proteins. The giant cytoplasmic inclusions are rarely seen in T-LGLL, likely representing a substantial accumulation of cytolytic proteins in the setting of acute presentation. The inclusions subsided after therapy, underscoring their association with disease status. Recognizing this phenomenon in T-LGLL is important for accurate diagnosis and treatment.

Advertisement intended for health care professionals