Advertisement intended for health care professionals

l

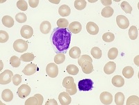
Sezary Cell

Sezary Cell
#00062067
Author: Maly Fenelus, MD, MPH
Category: Lymphoma: Mature T and NK cell lymphoproliferations > Mature T-cell Leukemias > Sezary Syndrome
Published Date: 11/14/2018

An abnormal lymphoid cell with “cerebriform” nuclear contours, moderately coarse chromatin and a moderate amount of pale blue cytoplasm measuring ~3x the size of a normal lymphocyte.

Advertisement intended for health care professionals