Advertisement intended for health care professionals

l

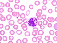
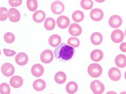
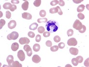
Chediak higashi syndrome

Chediak higashi syndrome
#00061924
Author: Dr. Shruti Mantri MD, PhD; Vinod Patil, MD; Gowind Kendre, MD; Suraj Goyanka, MD
Category: Primary Immunodeficiency (PID) > Other immunodeficiencies > Immunodeficiency with Albinism > Chediak-Higashi Syndrome
Published Date: 10/24/2018

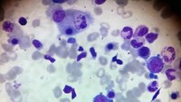
This is a bone marrow aspirate image showing macrophage phagocytosing a neutrophil with giant coarse granules characteristic feature of chediak higashi syndrome

Advertisement intended for health care professionals