Advertisement intended for health care professionals

l

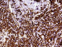
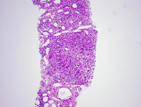
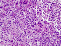
Histiocytic sarcoma-PET

Histiocytic sarcoma-PET
#00061833
Author: Elizabeth Morgan, MD
Category: Macrophage/Histiocytic and dendritic cell Neoplasms and disorders (2015) > M group > Primary Malignant Histiocytosis
Published Date: 08/22/2018

See reference case of histiocytic sarcoma for details.

Advertisement intended for health care professionals