Advertisement intended for health care professionals

l

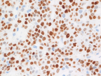
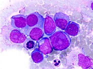
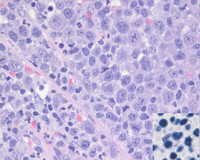
EBV+Plasmablastic lymphoma

EBV+Plasmablastic lymphoma
#00061601
Author: Girish Venkataraman, MD, MBBS
Category: Lymphoma: Mature B-cell and Plasma cell Neoplasms > Large B-cell lymphomas (not Richter transformation) > Plasmablastic lymphoma
Published Date: 07/09/2018

See reference case on EBV+ plasmablastic lymphoma for details on images.

Advertisement intended for health care professionals