Advertisement intended for health care professionals

l

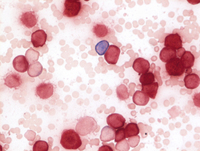
Acute Monoblastic Leukemia

Acute Monoblastic Leukemia
#00061513
Author: Vincent Cracolici, MD; Girish Venkataraman, MD
Category: Myeloid Neoplasms and acute leukemia (WHO 2016) > Acute Myeloid Leukemia > AML not otherwise specified > Acute monoblastic/monocytic leukemia
Published Date: 06/28/2018

Photomicrograph of the peripheral blood involved by numerous mononuclear cells with round to folded, indented nuclei, conspicuous nucleoli, and abundant cytoplasm suggestive of monoblastic differentiation.

A combined esterase stain confirms the monoblastic lineage of the cells present. Non-specific esterase (a-naphthyl butyrate) stains monocytic cell cytoplasm red-brown, and chloracetate esterase (naphthyl AS D-chloracetate) stains granulocytic-lineage cytoplasm blue.

Advertisement intended for health care professionals