Advertisement intended for health care professionals

l

Myeloid Sarcoma 3

Myeloid Sarcoma 3
#00061509
Author: Vincent Cracolici, MD; Girish Venkataraman, MD
Category: Myeloid Neoplasms and acute leukemia (WHO 2016) > Acute Myeloid Leukemia > Myeloid sarcoma
Published Date: 06/28/2018

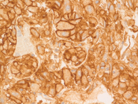
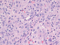
Photomicrograph of a soft tissue neoplasm composed of large, epithelioid cells with open chromatin and small, distinct nucleoli (image 1). Immunohistochemical staining with CD34 is negative (image 2), while staining with CD 33 is strongly and diffusely positive. This myeloid sarcoma was identified in a patient with acute myeloid leukemia with monocytic differentiation. CD34 expression is frequently negative in myeloid sarcoma which are often associated with AML with t(8;21) or NPM1-mutated AMLs.


Advertisement intended for health care professionals