Advertisement intended for health care professionals

l

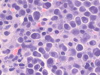
Plasma Cells in Bone Marrow Core Biopsy, Multiple Myeloma

Plasma Cells in Bone Marrow Core Biopsy, Multiple Myeloma
#00061460
Author: Heather Smith, MD, PhD; Girish Venkataraman
Category: Lymphoma: Mature B-cell and Plasma cell Neoplasms > Plasma Cell Neoplasm > Plasma cell myeloma
Published Date: 05/29/2018

Numerous plasma cells are infiltrating the bone marrow of this patient with multiple myeloma, leaving virtually no room for normal hematopoiesis to occur. Unlike normal plasma cells, many of these have large nuclei with very prominent nucleoli.

Advertisement intended for health care professionals