Advertisement intended for health care professionals

l

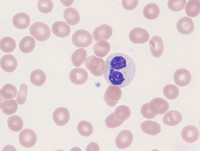
Pelgeroid cell

Pelgeroid cell
#00061342
Author: Timothy C Carll, MD; Girish Venkataraman, MD, MBBS
Category: Laboratory Hematology > Basic cell morphology > Morphologic variants of white blood cells > Hyposegmented neutrophil  
Published Date: 03/23/2018

Dysplastic neutrophil

 

There is hypolobation with Pelgeroid features, abnormal chromatin clumping and cytoplasmic hypogranularity.

 

Flashcards2018

Advertisement intended for health care professionals