Advertisement intended for health care professionals

l

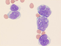
Mantle cell lymphoma CSF

Mantle cell lymphoma CSF
#00061293
Author: Girish Venkataraman, MD, MBBS; Megan Parilla, MD
Category: Lymphoma: Mature B-cell and Plasma cell Neoplasms > Mantle cell Lymphoma
Published Date: 02/27/2018

Mantle cell lymphoma cells with blastoid/pleomorphic cytomorphology in the CSF at relapse.

Advertisement intended for health care professionals