Advertisement intended for health care professionals

l

AML with mutated NPM1

AML with mutated NPM1
#00061263
Author: Girish Venkataraman, MD, MBBS; Mohamed Eldibany, MD
Category: Myeloid Neoplasms and acute leukemia (WHO 2016) > Acute Myeloid Leukemia > Acute Myeloid Leukemia with recurrent genetic abnormalities > AML with mutated NPM1
Published Date: 02/19/2018

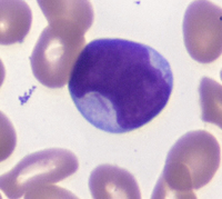
Circulating blast in AML with mutated NPM1 (without FLT3 mutation) demonstrating cup-like nuclear invaginations and cytoplasmic Auer rods. Only cases with isolated NPM1 mutation without FLT3 mutation and no other recurrent cytogenetic abnormality are included in this WHO category.

Advertisement intended for health care professionals