Advertisement intended for health care professionals

l

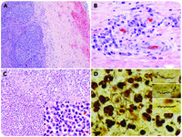
Syphilitic lymphadenitis with abscess formation involving cervical lymph nodes

Syphilitic lymphadenitis with abscess formation involving cervical lymph nodes
#00061246
Author: Amy S. Duffield; Michael J. Borowitz
Category: Lymph Node and Spleen: Reactive/infectious
Published Date: 02/10/2018

A 40-year-old man with no significant past medical history experienced myalgias and fatigue persisting for approximately 1 month, followed by the onset of painful cervical lymphadenopathy. A purified protein derivative skin test as well as serologic testing for HIV and Epstein-Barr virus were negative. The patient was treated with azithromycin, clindamycin, and ciprofloxacin; however, his symptoms returned after the course of antibiotics was completed. An excisional biopsy of an enlarged lymph node was performed. Histologic examination revealed that the capsule was fibrotic (panel A; hematoxylin and eosin [H&E] stain, original magnification ×40) and had prominent perivascular lymphoplasmacytic infiltrates (panel B; H&E stain, original magnification ×500). The node demonstrated follicular (panel A) and paracortical hyperplasia with a single abscess that contained neutrophils and necrotic debris (panel C; H&E stain, original magnification ×100, inset, ×1000). Special stains for mycobacteria and fungi were negative, although a Warthin-Starry stain highlighted spirochetes that were concentrated in the abscess (panel D; original magnification ×1000). The patient was subsequently reported to have a diffuse maculopapular rash involving the palms, and serologic testing for syphilis was positive.Syphilitic lymphadenitis characteristically demonstrates capsular fibrosis with perivascular lymphoplasmacytic infiltrates and follicular hyperplasia, as is seen in this case. However, isolated cervical lymphadenopathy and abscess formation are unusual, demonstrating that the enlarged nodes characteristic of secondary syphilis may have unusual clinical and pathologic features.

Advertisement intended for health care professionals