Advertisement intended for health care professionals

l

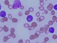
Figure 1: Peripheral blood smear at 50 x magnification

Figure 1: Peripheral blood smear at 50 x magnification
#00061241
Author: Samip Master, MD; Nebu Koshy, MD
Category: Myeloid Neoplasms and acute leukemia (WHO 2016) > Acute Myeloid Leukemia
Published Date: 02/09/2018

62 year old female with past medical history of hypertension , rheumatoid arthritis and  depression was found to have leukocytosis of more than 70, 000 WBCs/ul on a pre-operative work up done for knee surgery. The patient was then promptly referred to oncology, where her initial white cell count was 100, 000 WBC/ul with 93 % blasts in peripheral blood. Her hemoglobin was 7.3 g/dl and platelets were 61,000/ul. The d-dimer was >20 uG/ul. The peripheral blood smear showed numerous blasts with cup like nuclear indentations as shown in Figure 1 and 2. Bone marrow biopsy was done and it was consistent with acute myeloid leukemia with blasts form positive for PAS, CD 68, CD117, lysozyme, and myeloperoxidase.  The blasts do not express CD34.  The cytogenetics was normal female karyotype and molecular studies showed FLT3 ITD/TKD and NPM1 positivity. The patient was started on induction chemo therapy with idarubicin, cytarabine and midostaurin. The bone marrow biopsy on day 22 did not showed any residual leukemia. “Cup-like blasts” have been described in the literature and they are strongly associated with mutation of both NPM1 and FLT3-ITD or TKD. Also as in this case, the acute myeloid leukemia with cup like blasts demonstrate normal karyotype, negative for CD 34 and high D-dimer levels.


Advertisement intended for health care professionals