Advertisement intended for health care professionals

l

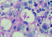
Histoplasmosis - GMS stain

Histoplasmosis - GMS stain
#00061209
Author: Shahin Hameed MD; Anjali Kale DCP MD FCAP
Category: Infectious Disease > Fungi > Histoplasmosis  
Published Date: 01/15/2018

Histoplasma capsulatum highlighted by the GMS stain


Advertisement intended for health care professionals