Advertisement intended for health care professionals

l

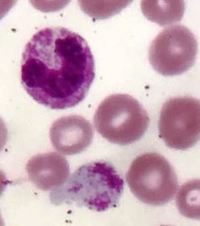
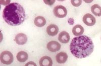
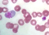
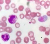
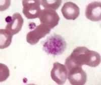
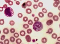
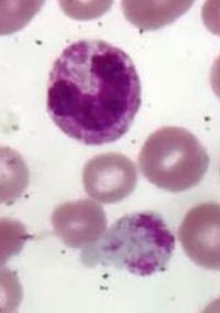
Giant platelets 1

Giant platelets 1
#00061198
Author: Kashmi Sharma, Prakhar Sharma
Category: Platelet and Megakaryocyte Disorders > Hereditary Platelet Disorders > Bernard-Soulier Syndrome (glycoprotein Ib-IX deficiency or defect)
Published Date: 01/15/2018

Numerous giant platelets in Bernard- Soulier syndrome caused due to quantitative or qualitative defects of the platelet glycoprotein complex GPIb/V/IX.


Advertisement intended for health care professionals