Advertisement intended for health care professionals

l

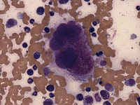
Mast cell Leukemia

Mast cell Leukemia
#00061147
Author: Sasan Zandi, MD, PhD; Waleed Alduaij, MD; Richard Wells, MD, PhD; Zeina Ghorab, MD; Yulia Lin, MD; Marciano Reis, MD
Category: Myeloid Neoplasms and acute leukemia (WHO 2016) > Mastocytosis
Published Date: 10/10/2017

Mast cell Leukemia

Advertisement intended for health care professionals