Advertisement intended for health care professionals

l

“Hof” in pronormoblasts: pure erythroid leukemia mimicking plasma cell myeloma

“Hof” in pronormoblasts: pure erythroid leukemia mimicking plasma cell myeloma
#00061140
Author: Beenu Thakral; Sa A. Wang
Category: Myeloid Neoplasms and acute leukemia (WHO 2016) > Acute Myeloid Leukemia > AML not otherwise specified > Pure erythroid leukemia
Published Date: 10/10/2017

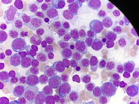
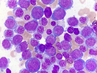
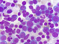
A 65-year-old man was diagnosed with plasma cell myeloma (PCM), status post cyclophosphamide-dexamethasone chemotherapy, autologous stem cell transplant (SCT), and lenalidomide maintenance. Seven years later, he developed therapy-related myelodysplastic syndrome (MDS) with 1% bone marrow (BM) blasts and complex cytogenetics including −5/−17 and TP53 somatic mutation by next-generation sequencing. He was treated with azacitidine, 5 cycles followed by allogeneic SCT with reduced-intensity busulfan-fludarabine conditioning. BM performed at day 90 revealed 80% immature cells with prominent nucleoli and basophilic cytoplasm with perinuclear “hof,” resembling plasmablasts (panels A-B; Wright-Giemsa stain [A], hematoxylin and eosin stain [B]). However, flow cytometry detected only 0.1% CD138 +CD56 + aberrant plasma cells (panels C-D), but many CD38 −/CD138 − cells in CD45 dim/negative area (panel E), CD36 bright+CD71 + (panel F), and CD235a +. Additional workup showed positive staining for periodic acid–Schiff (panel G), E-cadherin, and CD71, and negative for CD138/CD34/CD61, consistent with pronormoblasts. BM showed complex cytogenetics and TP53 mutation, similar to pre-SCT MDS. P53 immunostain was positive (panel H). The patient was diagnosed with pure erythroid leukemia (PEL) and minimal residual PCM and died in 1 week.Cytoplasmic “hof” because of a prominent Golgi zone is not unique for plasma cells and can be seen in other tumors such as carcinomas, melanoma, and, here, PEL. PEL is an ominous diagnosis that should be promptly diagnosed with awareness of this morphologic pitfall and proper application of ancillary studies.

Advertisement intended for health care professionals