Advertisement intended for health care professionals

l

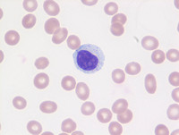
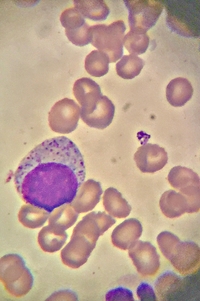
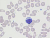
Large Granular Lymphocyte

Large Granular Lymphocyte
#00061073
Author: Dr. David Sukhai; Dr. Kendal Webb; Dr. Eshan Patel; Dr. Sami Ali; Dr. Ali Mahjoub
Category: Laboratory Hematology > Basic cell morphology > Morphologic variants of white blood cells > Large granular lymphocyte
Published Date: 06/26/2017

A large granular lymphocyte (LGL) as seen in a bone marrow biopsy of a patient with LGL leukemia. The incidence of LGL leukemia is thought to be about 1 in 10 million in the United States.

Advertisement intended for health care professionals