Advertisement intended for health care professionals

l

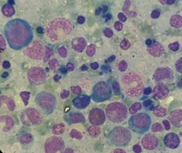
Hypersegmented neutrophil

Hypersegmented neutrophil
#00061057
Author: Ali Darakhshandeh; Azadeh Moghaddas
Category: Red Cell: Other Disorders > Megaloblastic Anemia
Published Date: 06/26/2017

Hypersegmented neutrophil ( 7 segment), anisocytosis and macro-ovalocytes in peripheral smear of a 40 years old man with severe anemia. In bone marrow megaloblastic erythropoesis and giant band cells are seen.


Advertisement intended for health care professionals