Advertisement intended for health care professionals

l

Hypergranular ALL

Hypergranular ALL
#00060890
Author: Girish Venkataraman, MD, MBBS; John Anastasi, MD; James W. Vardiman, MD
Category: Myeloid Neoplasms and acute leukemia (WHO 2016) > Precursor Lymphoid Neoplasms > B-lymphoblastic leukemia/lymphoma > B-Lymphoblastic Leukemia/Lymphoma, not otherwise specified
Published Date: 10/04/2016

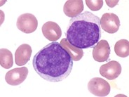
This is the CSF smear of a 19-year-old male with CNS relapse of precursor B-cell acute lymphoblastic leukemia occurring 4 years after initial diagnosis.

The blast exhibit an unusual hypergranular cytomorphology with obscuration of cytoplasm by prominent azurophilic granules. These features make this particular blast morphology reminiscent of both promyelocytes and basophils, though cytochemistry for myeloperoxidase (performed at initial diagnosis) was negative. Sometime, these blasts exhibit positivity for Sudan Black B, a cytochemical markers for myeloid granules, but this does not connote myeloid differentiation in such cases.

Flow cytometry at diagnosis identified typical precursor B-cell (“common") immunophenotype (CD19 +, CD10 +, TdT +) with partial CD20 and evidence of isolated trisomy 21 and gain of RUNX1 by cytogenetics.

ALL blasts with granules have sometimes been associated with:

  • presence of the Philadelphia chromosome

    ALLs that occur in Down syndrome.

Advertisement intended for health care professionals