Advertisement intended for health care professionals

l

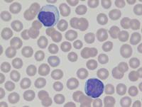
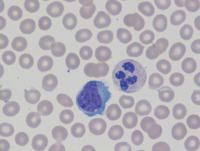
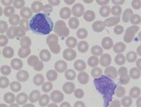
CLL trisomy 12 1

CLL trisomy 12 1
#00060801
Author: Girish Venkataraman, MD, MBBS
Category: Lymphoma: Mature B-cell and Plasma cell Neoplasms > Low-grade B-cell lymphoma > Chronic Lymphocytic Leukemia/Small Lymphocytic Lymphoma
Published Date: 07/23/2016

Atypical cytomorphology of small lymphoid cells in case of trisomy 12 CLL. Other than rare cells with clumped nuclear chromatin, most atypical lymphoid cells have clefted nuclei with variable amount of cytoplasm.


Advertisement intended for health care professionals