Advertisement intended for health care professionals

l

Extreme dyserythropoiesis in the setting of acute erythroid leukemia

Extreme dyserythropoiesis in the setting of acute erythroid leukemia
#00060694
Author: Francisco J. Ortuño; Maria Sola
Category: Myeloid Neoplasms and acute leukemia (WHO 2016) > Acute Myeloid Leukemia > AML not otherwise specified > Acute erythroid leukemia
Published Date: 05/02/2016

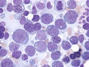
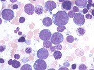
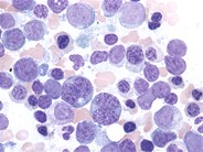
A 38-year-old man was admitted because of cough, fever, headache, and malaise. He was pale but otherwise in good general condition. The hemogram showed: white blood cell count, 1.7 × 10 9/L; hemoglobin, 97 g/L (mean corpuscular volume, 99 fL); and platelets, 7 × 10 9/L. A blood smear showed marked anisocytosis, anisochromia, and poikilocytosis; no blast cells were observed. A bone marrow aspirate showed 82% erythroblasts and marked dyserythropoietic signs (panels A-B) including extraordinarily giant polychromatophilic red blood cells with prominent basophilic stippling (panel C, red arrow). In addition, 12% blasts (myeloperoxidase positive; black arrow) were counted. The karyotype was 46 XY, −7, +21 [14]/46 XY [6]. A diagnosis of acute erythroid leukemia (AEL) erythroid/myeloid or French-American-British M6 acute myeloid leukemia was achieved. The patient entered complete remission after a 3+7 idarubicin–Ara-C regimen and is currently scheduled for a matched unrelated donor bone marrow transplantation.In their later differentiating stages in bone marrow, erythroblasts undergo a decrease in cell size, nuclear extrusion, and internal organelle degradation before traversing the sinus endothelium. In the setting of the continuum of myelodysplastic syndrome/AEL, marked abnormalities of erythroid maturation in the bone marrow niche occur as seen in the 3 panels. We herein show an extreme example of asynchronism between enucleation and cell size reduction.

Advertisement intended for health care professionals