Advertisement intended for health care professionals

l

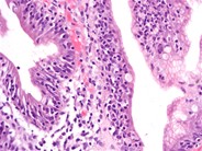
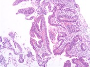
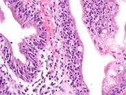
EATL Type I

EATL Type I
#00060536
Author: Girish Venkataraman, MD, MBBS
Category: Lymphoma: Mature T and NK cell lymphoproliferations > Mature T-cell Lymphomas > Gastro-intestinal T-cell lymphomas > Enteropathy-associated T-cell Lymphoma
Published Date: 03/24/2016

EATL Type I

Advertisement intended for health care professionals