Advertisement intended for health care professionals

l

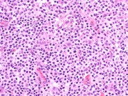
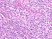
Lymphoepitheliod cell ("Lennert's") lymphoma

Lymphoepitheliod cell ("Lennert's") lymphoma
#00060530
Author: Girish Venkataraman, MD, MBBS
Category: Lymphoma: Mature T and NK cell lymphoproliferations > Mature T-cell Lymphomas > Peripheral T-Cell Lymphoma, not otherwise specified
Published Date: 03/24/2016

CD4

Advertisement intended for health care professionals