Advertisement intended for health care professionals

l

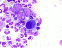
Micromegakaryocyte

Micromegakaryocyte
#00060519
Author: Teresa Scordino
Category: Morphologic variants of normal cells > Morphologic variants of platelets/megakaryocytes > Micromegakaryocytes
Published Date: 03/02/2016

Micromegakaryocytes, or dwarf megakaryocytes, are abnormally small megakaryocytes with increased nuclear to cytoplasmic ratios and hypolobated nuclei.  Micromegakaryocytes are seen in chronic myelogenous leukemia, myelodysplasia, and other myeloid neoplasms; they may occasionally circulate in the peripheral blood in these conditions.

Advertisement intended for health care professionals