Advertisement intended for health care professionals

l

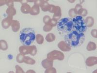
Histoplasma in peripheral blood

Histoplasma in peripheral blood
#00060278
Author: Girish Venkataraman, MD, MBBS
Category: Infectious Disease > Fungi > Histoplasmosis  
Published Date: 11/16/2015

Peripheral blood neutrophils with histoplasma in a patient with advanced uncontrolled HIV infection.

Advertisement intended for health care professionals