Advertisement intended for health care professionals

l

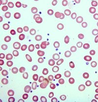
Iron Deficiency Anemia Moderate

Iron Deficiency Anemia Moderate
#00060223
Author: Emma Catherine Scott and Stephen Schuster
Category: Red Cell: Disorders of Iron Metabolism and Heme Synthesis > Iron Deficiency and related disorders > Acquired
Published Date: 10/06/2015

Iron Deficiency

Moderate Iron Deficiency

A patient with a history of a gastrectomy presented for difficulty swallowing and fatigue. Laboratory findings included: hemoglobin 7 g/dL, MCV 61 fL, platelet count 750 thou/μL, normal WBC, reticulocytes 2.5%, serum ferritin 6 ng/mL, serum iron 12 ug/dL, and transferrin 400 μg/dL. Peripheral smear showed thrombocytosis (normal morphology), hypochromia, and anisopoikolocytosis   The patient was found to have  Plummer-Vinson syndrome , esophageal webs, causing the swallowing difficulties.  This manifestation of iron deficiency is not frequently encountered. 

Advertisement intended for health care professionals