Advertisement intended for health care professionals

l

Mixed phenotype acute leukemia 1

Mixed phenotype acute leukemia 1
#00060142
Author: Elizabeth L. Courville, MD; Girish Venkataraman
Category: Myeloid Neoplasms and acute leukemia (WHO 2016) > Acute leukemias of ambiguous lineage > Mixed phenotype acute leukemia with t(v;11q23); KMT2A rearranged
Published Date: 10/03/2015

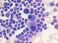
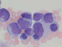
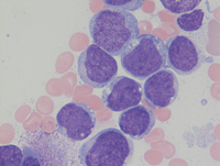
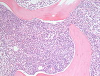
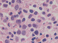
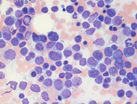
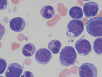
The patient is pancytopenic. There are circulating blasts (19% by differential count) which are large in size with a moderate amount of basophilic cytoplasm, fine chromatin, and nucleoli. The patient is pancytopenic.


Advertisement intended for health care professionals