Advertisement intended for health care professionals

l

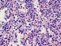
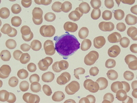
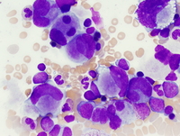
Myeloid leukemia associated with Down syndrome 5

Myeloid leukemia associated with Down syndrome 5
#00060111
Author: Elizabeth L. Courville, MD
Category: Myeloid Neoplasms and acute leukemia (WHO 2016) > Acute Myeloid Leukemia > Myeloid proliferations related to Down syndrome > Myeloid Leukemia associated with Down Syndrome
Published Date: 09/29/2015

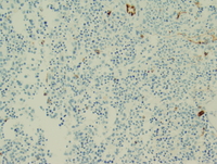
There are only rare scattered CD34 positive blasts by immunohistochemical stain.


Advertisement intended for health care professionals