Advertisement intended for health care professionals

l

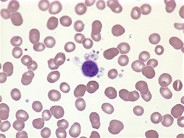
Therapy-related myeloid neoplasm (Acute myeloid leukemia)

Therapy-related myeloid neoplasm (Acute myeloid leukemia)
#00060094
Author: Elizabeth L. Courville, MD
Category: Myeloid Neoplasms and acute leukemia (WHO 2016) > Acute Myeloid Leukemia > Therapy-related myeloid neoplasms
Published Date: 09/28/2015

There are 44% blasts by differential count of the aspirate smear.

Advertisement intended for health care professionals