Advertisement intended for health care professionals

l

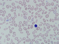
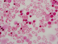
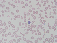
Congenital sideroblastic anemia peripheral blood

Congenital sideroblastic anemia peripheral blood
#00060065
Author: Katherine Calvo
Category: Red Cell: Disorders of Iron Metabolism and Heme Synthesis > Sideroblastic anemias > Hereditary/Congenital Sideroblastic Anemia > X-linked Sideroblastic anemia
Published Date: 09/21/2015

Peripheral blood smear showing marked anisopoikilocytosis, basophilic stippling, polychromasia and nRBCs.​

Advertisement intended for health care professionals