Advertisement intended for health care professionals

l

Diffuse Large B-cell Lymphoma, Anaplastic Variant - 2.

Diffuse Large B-cell Lymphoma, Anaplastic Variant - 2.
#00004088
Author: John Lazarchick
Category: Lymphoma: Mature T and NK cell lymphoproliferations > Mature T-cell Lymphomas > Anaplastic Large Cell Lymphoma, ALK negative
Published Date: 11/01/2009

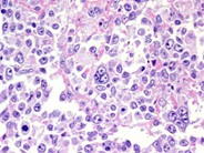
At higher magnification, the cellular infiltrate is composed is noted to composed of large cells with extensive cytoplasm, variable nuclear contours, and nuclei with centroblastic and immunoblastic features. Mitotic figures are prominent.


Advertisement intended for health care professionals