Advertisement intended for health care professionals

l

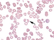
Microangiopathic hemolytic anemia - 1.

Microangiopathic hemolytic anemia - 1.
#00004048
Author: Peter Maslak; Lisa Southern;
Category: Red Cell: Hemolytic Anemia (HA) > Acquired non-immune HAs > Fragmentation Hemolysis > Microangiopathic Hemolytic Anemias > Thrombotic thrombocytopenic purpura
Published Date: 08/01/2009

Red cells are "sheared" resulting in a variety of fragmented forms. An arrow marks a triangulocyte.


Advertisement intended for health care professionals