Advertisement intended for health care professionals

l

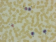
Leukocyte alkaline phosphatase (LAP)scoring - 3.

Leukocyte alkaline phosphatase (LAP)scoring - 3.
#00003964
Author: John Lazarchick
Category: Laboratory Hematology > Special hematology tests > Leukocyte alkaline phosphatase score
Published Date: 09/28/2011

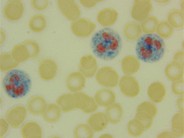
A magnifies view of the LAP stain in shown. Each of these cells would be graded as 2.


Advertisement intended for health care professionals