Advertisement intended for health care professionals

l

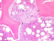
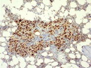
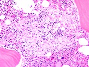
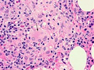
Bone marrow granuloma - 2.

Bone marrow granuloma - 2.
#00003942
Author: John Lazarchick
Category: Reactive Marrow
Published Date: 04/01/2009

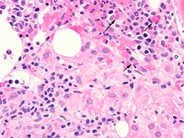
The granulomatous lesion is shown at higher magnification to illustrate the cellular composition of macrophages with eosinophilic cytoplasm and scattered lymphocytes and plasma cells.


Advertisement intended for health care professionals