Advertisement intended for health care professionals

l

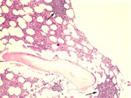
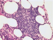
CLL – nodular pattern - 1.

CLL – nodular pattern - 1.
#00003889
Author: Peter Maslak
Category: Lymphoma: Mature B-cell and Plasma cell Neoplasms > Low-grade B-cell lymphoma > Chronic Lymphocytic Leukemia/Small Lymphocytic Lymphoma
Published Date: 04/01/2009

Discreet nodules (arrows) of small lymphoid cells in the biopsy can be appreciated under low power.


Advertisement intended for health care professionals