Advertisement intended for health care professionals

l

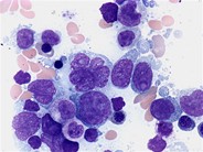
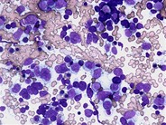
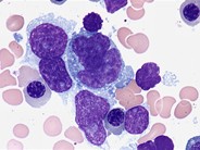
Diffuse large B-cell lymphoma - bone marrow aspirate - 4.

Diffuse large B-cell lymphoma - bone marrow aspirate - 4.
#00003863
Author: Peter Maslak
Category: Lymphoma: Mature B-cell and Plasma cell Neoplasms > Large B-cell lymphomas (not Richter transformation)
Published Date: 04/01/2009

Some of the lymphoma cells have vacuoles and a "velvety" texture to the nuclear chromatin. Nucleoli can also be seen.


Advertisement intended for health care professionals