Advertisement intended for health care professionals

l

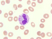
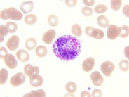
G-CSF effect - 2.

G-CSF effect - 2.
#00003749
Author: John Lazarchick
Category: Laboratory Hematology > Basic cell morphology > Morphologic variants of white blood cells > Toxic granulation/Dohle bodies  
Published Date: 03/28/2012

The unique granular response is more readily appreciated at the higher magnification shown in this view.


Advertisement intended for health care professionals