Advertisement intended for health care professionals

l

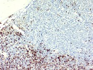
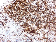
Recurrent AML following peripheral stem cell transplant - 6.

Recurrent AML following peripheral stem cell transplant - 6.
#00003706
Author: Aly Bourreza; John Lazarchick;
Category: Stem Cell Transplantation > Other transplantation related complications
Published Date: 10/01/2008

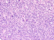
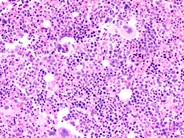
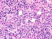
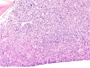
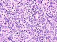
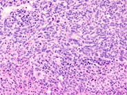
The intersect of the normal and leukemic marrow areas are evident at the higher magnification shown. Increased but scattered blasts can be seen in the area of normal hematopoiesis.


Advertisement intended for health care professionals