Advertisement intended for health care professionals

l

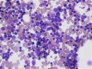
Lymphoid hyperplasia - 1.

Lymphoid hyperplasia - 1.
#00003685
Author: Peter Maslak
Category: Laboratory Hematology > Basic cell morphology > Morphologic variants of white blood cells
Published Date: 10/01/2008

Patchy increase in lymphoid elements represents, in this case of infection, a non-specific reactive finding.


Advertisement intended for health care professionals