Advertisement intended for health care professionals

l

CNS hemorrhage - 1.

CNS hemorrhage - 1.
#00003671
Author: Peter Maslak
Category: Hemostasis and coagulation > Miscellaneous
Published Date: 10/01/2008

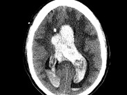
Massive intraventricular hemorrhage in a patient with Ph+ ALL undergoing chemotherapy. The tip of an Ommaya catheter is noted in the right frontal horn of the lateral ventricle.


Advertisement intended for health care professionals